Секвестрированная экструзия L3-L4

Lyosik

Новичок
Всем доброго дня.
Хотел бы получить небольшую консультацию.
Мне 31 год рост 196 см, вес 117 кг Работа сидячая 8 часов в день, в молодости 6 лет занимался баскетболом. Уже много лет имею проблему, постоянно в осенний период после поднятия тяжести слетает (я так называю) поясница, сразу сильно перекашивает. Раньше за 3-4 дня все проходило. В этом же году, через несколько дней псоле поднятия тяжелого мешка, меня снова скрючило. Как обычно через день-два смог ходить, еще через пару дней стал ровным. Но уже как два месяца не проходит боль слева, и появились небольшие нервные тянущие боли до колена. В частной клинике сделал рентген поставили диагноз- остеохондроз поясничного отдела 2 ст и спандилоартроз L5-S1 и воспалительный процес, МРТ сказали можно пока не делать. На сегодня пью целебрекс и мидокалм 150. В клинике делаю блокаду Траумелем и физиотерапию, потом постепенно введут мануальную терапию. Так же по утрам использую карсет. Уже как неделю состояние стабильное, тело ровное, боли приглушенные не острые.
Подскажите правильно ли все делаю? И может все таки необходимо МРТ.
Буду очень благодарен за советы. Может посоветуете комплекс ЛФК, сейчас стараюсь закачивать немонго спину.
П.С. Чего так переживаю-младшему сыну 3 месяца, стараюсь что бы не только жена с ним носилась, но и я страраюсь через боль ей помагать. Понимаю что не совсем прально это.
 

Lyosik

Новичок
Всем здравствуйте.
Извините что отвлекаю, но нужна помощь.

Пару месяцев назад я уже писал на сайте в разделе остеохондроз, теперь пришло время написать здесь.
Вообщем после 5 ти месяцев боли в пояснице решил сделать МРТ. Результаты чуть ниже.
Немного хочу сказать о сегодняшем состоянии:
Почти постоянно болит левый бок на уровне поясницы, болит терпимо скорее ноет, обезбаливающие не принимаю, сплю нормально. Трудно нагибаться. Иногда немеют большие пальцы на обоих ногах, очень редко ноет (тянет) левое бедро выше колена. Бывает на левой бедренной мышце чувство крепатуры, без причины, редко 1-2 раза в месяц. Хожу ровно, приседаю, сидеть могу около 2 часов потом делаю прогулку 5-10 мин что бы снять напряжение. Делаю заряку в положении лежа.
Монотонная боль (дискамфорт) надоел. Поэтому сделал МРТ. И хочу начать активно выздоравливать- наличие двоих детей, ну и конечно здравый смысл обязывет к этому.

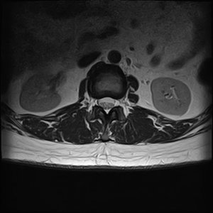
Заключение МРТ:
МР-признаки дегенеративно-дистрофичных изменений поперечного отдела хребта, секвестрированная экструзия диска L3-L4, пролапсы дисков L4-L5, L5-S1, Стеноз вертебрального канала на уровне L4-L5, L5-S1, выпрямленный поперечный лордоз.

Сама расшифровка:
Высота тел хрящей не снижена. Перихондрально в теле L5 есть признаки жировой дегенерации. В крайних отделах хрящей, большей частью по ветролатентным поверхностям, видны костные разростания-остеофиты. На уровне нижнегрудного, нижне поясничного сегментов наблюдается деформация, наружение целосности замыкающих пластинок тел хрящей.

Диск L3-L4 снижен по высоте, выступает дорсально, парамедианно в лево до 8,5 мм, фораминально в лево до 2,7 мм, в правл до 1,5 мм, целостность фиброзного кольца нарушена, межхребтовые отверстия сужены, дуральный мешок и нервные корешки компремованные, сагитальный розмер вертебр. канала до 12 мм.

Диск L4-L5 снижен по высоте, выступает дорсально с двухсторонней латеризацией до 4 мм, фораминально в обе стороны до 2,5 мм, межхребтовои отверстия сужены, сагитальный розмер вертебр. канала до 16 мм.

Диск L5-S1 снижен по высоте, выступает дорсально с двухсторонней латеризацией большей частью парамедианно в лево до 4 мм, фораминально в лево до 3 мм, вправо до 2 мм, межхребтовои отверстия сужены, сагитальный розмер вертебр. канала до 12 мм.

Спинной мозг не изменен по толщине и интнсивности МР-сигнала, конус на уровне L1.

PS Могут быть ошибки, переводил с украинского.

Снимки обязательно прикреплю или сегодня или завтра.

Самый главный для меня вопрос - пахнет ли здесь операцией???

Надеюсь на вашу помощь. Подскажите с чего начинать, куда и к кому бежать.

Заранее блогадарен. Очень надеюсь на коментарии специалистов.
 

Lyosik

Новичок
28.jpg29.jpg
Подскажите в таком виде нормально ? информативно? Или лучше как-то по другому?
 

Владимир Воротынцев

Врач, мануальный терапевт, реабилитолог
С учетом жалоб, течения заболевания, данных МРТ и отсутствия эффекта от проводимого консервативного лечения показано оперативное лечение.
 

Lyosik

Новичок
Уважаемый Владимир, большое спасибо за ответ.
Хотел бы отметить (может просто хочу себя обмануть), но объективно с каждым месяцем становится чуть лучше, в феврале было около 10 дней когда вообще ничего не беспокоило. С декабря занимаюсь только дома упражнениями.
Вопрос: Стоит ли попробывать консервативное лечение со специалистом? И отложить операцию например до сентября?
 

Владимир Воротынцев

Врач, мануальный терапевт, реабилитолог
Оперироваться или продолжить консервативное лечение решает только сам больной. Имеются показания к плановому оперативному вмешательству. К экстренному и срочному отсутствуют.
Но для получения положительного результата от консервативного лечения больным должен заниматься врач, который умеет лечить больных с данной патологией.
 

Lyosik

Новичок
Большая просьба так же прокоментировать состояние и перпективы двух других дисков L4-L5 и L5-S1. Заранее спасибо.
PS: В понедельник еду на прием к нейро-хирургу в Киевский институт нейрохирургии им. Ромоданова
 
я бы попробовал полечиться так:
эпид. блокады со стероидами или блокада поясничного сплетения для снятия воспаления с корешка и остроты процесса, а потом ирт массаж и т.д. если не поможет тогда оперироваться. Вообще то сегмент л3-л4 достаточно хорошо поддается лечению.
 
я бы попробовал полечиться так:
эпид. блокады со стероидами или блокада поясничного сплетения для снятия воспаления с корешка и остроты процесса, а потом ирт массаж и т.д. если не поможет тогда оперироваться. Вообще то сегмент л3-л4 достаточно хорошо поддается лечению.
Тем более становится и так легче.. Я бы не стал спешить с хирургией
 

Lyosik

Новичок
Вообщем сегодняк нейрохирургу не пошел, а пошел к неврологу. Долго она вздыхала смотря на мое МРТ, но после проверки рефлексов ног, проверки как я стою на пятках и на носках, а особенно после того как я сел и быстро зашнуровался, сказала с операцией не спешить. Правда что делать дальше тоже не сказала. Сказала корсет носить, но я его не хочу-давно уже не ношу. Тяжести не носить - а я очень аккуратно их ношу до 18 кг. В общем что? Просто ждать?
На завтра записался к доктору Зинчуку. Думаю с ним мы что-то дельное придумаем.
 

pingvin

Пользователь
Вообщем сегодняк нейрохирургу не пошел, а пошел к неврологу. Долго она вздыхала смотря на мое МРТ, но после проверки рефлексов ног, проверки как я стою на пятках и на носках, а особенно после того как я сел и быстро зашнуровался, сказала с операцией не спешить. Правда что делать дальше тоже не сказала. Сказала корсет носить, но я его не хочу-давно уже не ношу. Тяжести не носить - а я очень аккуратно их ношу до 18 кг. В общем что? Просто ждать?
На завтра записался к доктору Зинчуку. Думаю с ним мы что-то дельное придумаем.

ключевая фраза
корсет не носите зря
тяжести носите зря
-)))
 

Lyosik

Новичок
На счет корсета - носил с утра, только когда было больно вставать с постели, носил до часу потом снимал и ехал на работу, мне тогда объяснили, что черезмерное ношение отрафирует мышцы.
На счет тяжестей-почему-то только сегодня пересмотрел свое мнение, буду носить не тежялее своего малого 8 кг и только прижатого к груди, интересно -то что все эти 4-5 месяца после ношения тяжести до 18 кг-никогда хуже не становилось (поднимал только с положения сидя, равномерно распределял на обе руки), вот теперь думаю если б не насил, то может быть стало бы намного лучше. :)
 

Lyosik

Новичок
Подскажите при наличии межпозвоночных грыж в поясничном отделе, как лучше сидеть? 1) Максимально выпрямленно как на табурете (не облакачиваясь) ? 2) Или с валиком (подушекой) под поясницей. Спасибо.
 
Сверху